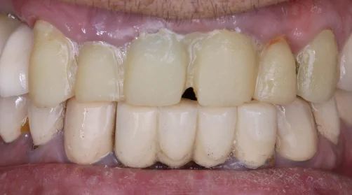
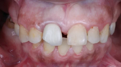
A dental implant is an artificial tooth root that replaces one or several missing teeth. The inner part looks like a screw and is made of a biocompatible titanium alloy, and the outer part is the prosthetic with the same appearance of a natural tooth. In time, the bone cells develop around the implant, reinforcing it into the jaw and fusing it with the surrounding bone.
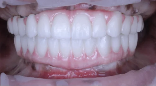
Dental implants do not rely on adjacent teeth for support, avoiding destructive drilling, a procedure that is necessary in classical bridgework.





