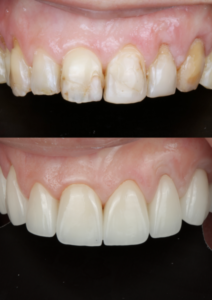
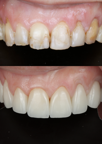
case 18 Previous item Main 1 Next item case 15 Started November 22, 2024 1 0 0 No image description ...