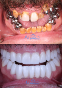
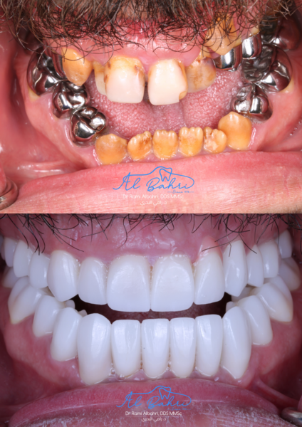
case 11 Previous item case 13 Next item case 7 Started November 22, 2024 1 0 0 No image description ...