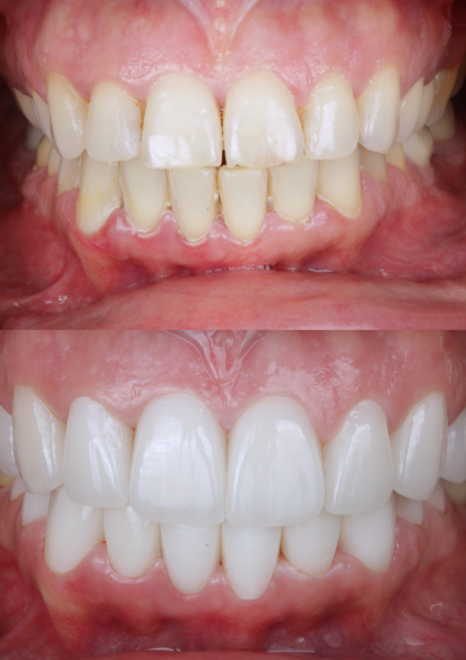
` case 13 - Al Bahri Dental and Orthodontic Center

INQUIRE NOW

CallChat on WhatsApp