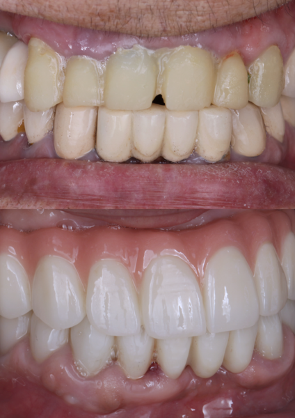
` case 3 (1) - Al Bahri Dental and Orthodontic Center

INQUIRE NOW

CallChat on WhatsApp