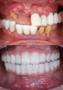
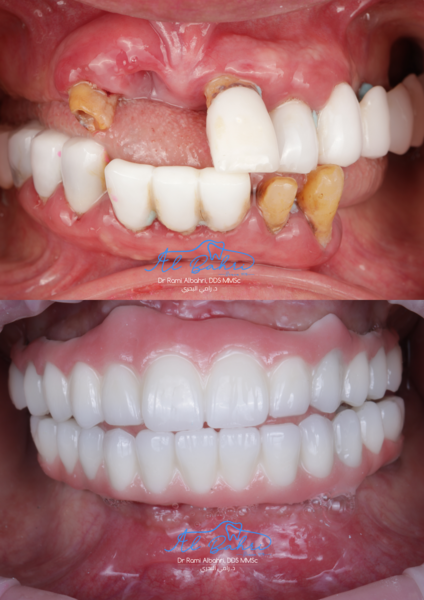
case 8 Previous item case 3 (1) Next item ab Started November 26, 2024 1 0 0 No image description ...