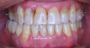
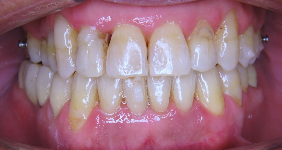
WhatsApp Image 2022-09-01 at 11.13.58 PM Previous item invisible-transparent-aligner Next item WhatsApp Image 2022-09-01... Started September 3, 2022 1 0 0 No image description ...